Menu
instagram Facebook

最新5件

※手術の写真を掲載しておりますので、
苦手な方はご注意ください。

健康診断で消化管の小細胞性リンパ腫を診断した猫の1例
【概要】
悪性リンパ腫は、骨髄で作られる白血球のうちのリンパ球ががん化する病気です。悪性リンパ腫は身体のあらゆる部分に腫瘍を形成し、細胞の形態によって様々なタイプがあります。発生部位と細胞のタイプによって治療が異なり、予後も大きく変わってきてます。
猫における全腫瘍の中で悪性リンパ腫は比較的発生率が高く、猫の腫瘍で最もよくみられる腫瘍の一つです。その中でも消化管にできる消化管型と呼ばれるタイプは1番多く発生します。
今回健康診断にて症状の無い猫の消化管型リンパ腫を診断した為ご紹介いたします。

【症例】
猫種:Mix
性別:避妊メス
年齢:12歳

【主訴、実施検査】
当院で実施の健康診断プランの受診を希望。自宅での一般状態は良好。
健康診断では一般血液検査、胸部、腹部レントゲン検査、腹部超音波検査、尿検査、甲状腺ホルモン測定を行いました。検査自体はご説明を含めて1時間程度で終了いたします。
【精査】
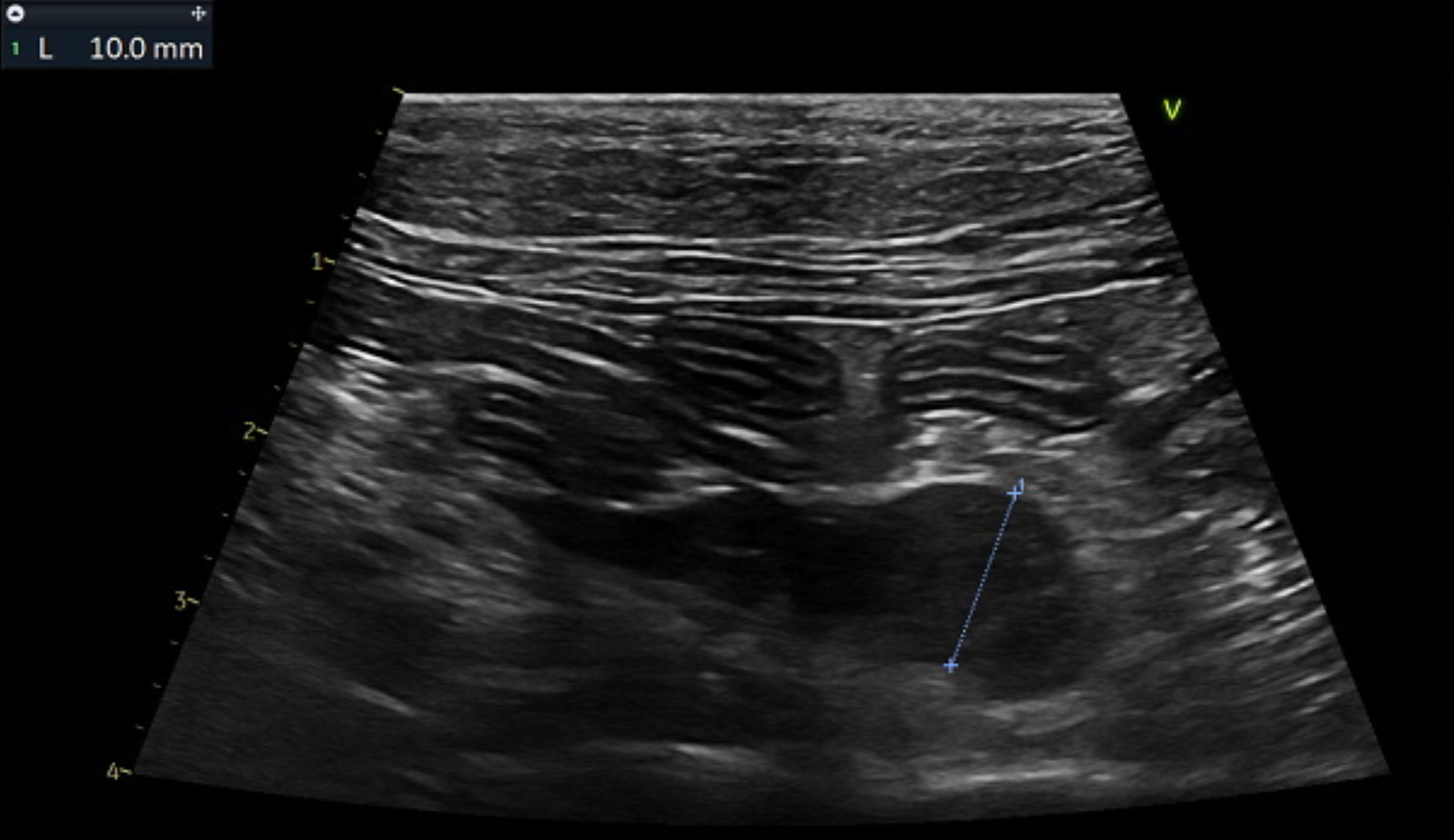
腹部超音波検査において腹腔内の腸管付近のリンパ節が1.0cm程度(正常は<0.5cm)と軽度腫大をしていたため、2週間後に再度超音波検査にて再確認しましたがサイズに変化はありませんでした。超音波検査において消化管を含めて他臓器に明らかな異常は認めませんでしたが、腫大しているリンパ節の細胞診およびCT画像検査と消化管の内視鏡生検検査をご提案し、念のため実施することとなりました。
CT画像検査では空腸リンパ節の腫大を認めましたが他臓器に明らかな異常は認めませんでいした。
念のため実施した上部消化管内視鏡生検では胃や十二指腸の粘膜が荒れて炎症を起こしていることが確認されました。
※写真は腹部超音波にて空腸リンパ節のサイズを測定しているところです
※写真は上部内視鏡の十二指腸の写真です。青丸で囲まれた部分の絨毛が肥厚して一部粘膜が赤く一部炎症が起きている事がわかります
【診断結果】
上部消化管から計18生検サンプル回収をしましたが、十二指腸の生検サンプルから小細胞性消化管型のリンパ腫と診断されました。
小細胞性のリンパ腫は猫の悪性リンパ腫の中では比較的予後が良いとされており(一部治療抵抗性や悪性転化する子もあり)、ご自宅で経口薬を飲ませていただく事で長期での病気のコントロールの可能な子が多いです。

【まとめ】
今回無症状かつ、CT画像検査でも検出されないリンパ腫を早期診断できたのは、画像検査も含めた健康診断を実施させていただいた事が大きいです。
6~7歳を過ぎた中齢の猫は病気の早期発見、早期治療が重要とされているので、半年から1年に1度の健康診断が推奨されます。また今回のように血液検査で異常を示さない病気も多く存在する為、できる限りのレントゲン検査や超音波検査の実施も同時に推奨されます。
健康診断をご希望の方はお気軽にご連絡ください。
またCT画像検査や内視鏡検査も随時行っていますのでご相談ください。

執筆担当
獣医師 西田

症例報告一覧